Notes
Slide Show
Outline
1
The History and Scope of Psychology

Module 1
2
Prescientific Psychology
  • Socrates (469-399 BCE) and Plato (428-348 BCE)
3
Prescientific Psychology
  • Aristotle (384-322 BCE)
4
Prescientific Psychology
  • Rene Descartes (1596-1650)
5
Prescientific Psychology
  • Francis Bacon (1561-1626)
6
Prescientific Psychology
  • John Locke (1632-1704)
7
Approaches to psychology
  • Structuralism
  • Functionalism
  • Behaviorism
  • Cognitivism
  • Neuroscience
  • Evolutionary psychology
  • Psychodynamic psychology
  • Humanistic psychology
  • Behavior genetics
  • Social-cultural psychology


8
Psychological Science is Born
  • Structuralism
9
Psychological Science is Born
  • Functionalism
10
Psychological Science is Born
  • The Unconscious Mind
11
Psychological Science Develops
  • Behaviorism
12
Psychological Science Develops
  • Humanistic Psychology
13
Psychology Today
  • We define psychology today as the scientific study of behavior (what we do) and mental processes (inner thoughts and feelings).
14
Contemporary Psychology
  • Psychology’s Big Debate
  • Nature versus Nurture
15
Contemporary Psychology
  • Psychology’s Three Main Levels of Analysis
16
Contemporary Psychology
  • Psychology’s Three Main Levels of Analysis
17
Psychology’s Current Perspectives
18
Psychology’s Current Perspectives
19
Psychology’s Current Perspectives
20
Thinking Critically with Psychological Science

Module 2
21
The Need for Psychological Science
  • Intuition & Common Sense
22
Hindsight Bias
  • Hindsight Bias is the “I-knew-it-all-along” phenomenon.


  • We tend to believe, after learning about an outcome, that we would have foreseen it. We knew that the dot.com stocks would plummet, only after they did.


  • Turn to one or two others and together identify another example of hindsight bias (not in our book)
23
Psychological Science
  • How can we differentiate between uninformed opinions and examined conclusions?
  • The science of psychology can help make these examined conclusions, which lead to our understanding what people feel, think, act, as they do!


24
The Scientific Attitude
25
Critical Thinking
  • Critical thinking does not blindly accept arguments and conclusions.


  • It examines assumptions, discerns hidden values, evaluates evidence, assesses conclusions.
26
Scientific Method
  • Psychologists, like all scientists, use the scientific method to construct theories that organize, summarize and simplify observations.
27
Theory
  • Theory is an explanation that integrates principles, organizes and predicts behaviors or events.


  • For example, low self-esteem contributes to depression.
28
Hypothesis
  • Hypothesis is a testable prediction, often induced by a theory, to enable us to accept, reject or revise the theory.


  • People with low self-esteem are apt to feel more depressed.
29
Research Process
30
FAQ
  • Q5. Is it ethical to experiment on animals?


  • Ans: Yes. To gain insights to devastating and fatal diseases. All researchers who deal with animal research are required to follow ethical guidelines in caring for these animals.
31
FAQ
  • Q6. Is it ethical to experiment on people?


  • Ans: Yes. Experiments that do not involve any kind of physical or psychological harm that is beyond normal levels encountered in daily life can be carried out.
  • Experiments must include informed consent prior to the study and a debriefing after participation.
32
Research Strategies: How Psychologists Ask and Answer Questions

Module 3
33
Description
  • Case Study
34
Case Study
  • A clinical study is a form of case study where the therapist investigates the problems associated with a client.
35
Survey
  • A technique for ascertaining the self-reported attitudes, opinions or behaviors of people usually by questioning a representative, random sample of people.
36
Survey
  • From a population, if each member has an equal chance of inclusion into a sample, we call that a random sample (unbiased). If the survey sample is biased, its results are spurious.
37
Naturalistic Observation
  • Observing and recording behavior of animals in the wild, to recording self-seating patterns in lunch rooms in a multiracial school constitute
  • naturalistic observation.
38
Correlation
  • Correlation Coefficient is a statistical measure of relationship between two variables.
39
Correlation and Causation
40
Experimentation
  • Like other sciences, experimentation forms the backbone of research in psychology. Experiments isolate causes and their effects.
41
Exploring Cause & Effect
  • Many factors influence our behavior. Experiments (1) manipulate factors that interest us while keeping other factors under (2) control.


  • Effects generated by manipulated factors isolate cause and effect relationships.
42
Independent Variable
  • Independent Variable is a factor, manipulated by the experimenter, and whose effect is being studied.


  • For example, to study the effect of breast feeding on intelligence. Breast feeding is the independent variable.
43
Dependent Variable
  • Dependent Variable is a factor that may change in response to independent variable. In psychology it is usually a behavior or a mental process.


  • For example, in our study on the effect of breast feeding on intelligence. Intelligence is the dependent variable.
44
Evaluating Therapies
  • In evaluating drug therapies it is important to keep the patients and experimenter’s assistants blind to which patients got real treatment and which placebo.
45
Evaluating Therapies
  • Assigning participants to experimental (Breast-fed) and control (formula-fed) conditions by random assignment minimizes pre-existing differences between the two groups.
46
Experimentation
47
Comparison
48
Neural and Hormonal Systems

Module 4
49
History of the Mind
  • Plato correctly located mind in the brain, however his student Aristotle believed that mind was in the heart.
50
Neural Communication
  • The body’s information system is built from billions of interconnected cells called neurons.
51
Neural Communication
  • We are biopsychosocial systems.
52
Neuron
  • A nerve cell or a neuron consists of many different parts.
53
Parts of a Neuron
  • Cell Body (soma): Life support center of the neuron.


  • Dendrites: Branching extensions at the cell body. Receives messages from other neurons.


  • Axon: Long single extension of a neuron, covered with myelin [MY-uh-lin] sheath to insulate and speed up messages through neurons.


  • Terminal Branches of axon: Branched ending of axons. Transmitting messages to other neurons.
54
Action Potential
  • A neural impulse. A brief electrical charge that travels down an axon generated by the movement of positively charged atoms in and out of channels in the axon’s membrane.
55
Depolarization & Hyperpolarization
  • Depolarization: Depolarization occurs, when positive ions enter the neuron, making it more susceptible to fire an action potential. When negative ions enter the neuron making it less susceptible to fire, hyperpolarization occurs.
56
Threshold
  • Threshold: Each neuron receives depolarizing and hyperpolarizing currents from many neurons. When the depolarizing current (positive ions) minus the hyperpolarizing current (negative ions) exceed minimum intensity (threshold) the neuron fires an action potential.
57
Refractory Period & Pumps
  • Refractory Period: After a neuron has fired an action potential it pauses for a short period to recharge itself to fire again.


  • Sodium-Potassium Pumps: Sodium-potassium pumps pump positive ions out from the inside of the neuron, making them ready for another action potential.
58
Action Potential Properties
  • All-or-None Response: When depolarizing current exceeds the threshold a neuron will fire, and below threshold it will not.


  • Intensity of an action potential remains the same, throughout the length of the axon.
59
Synapse
  • Synapse [SIN-aps] a junction between the axon tip of the sending neuron and the dendrite or cell body of the receiving neuron. This tiny gap is called the synaptic gap or cleft.
60
Neurotransmitters
  • Neurotransmitters (chemicals) released from the sending neuron, travel across the synapse and bind to receptor sites on the receiving neuron, thereby influencing it to generate an action potential.
61
Reuptake
  • Neurotransmitters in the synapse are reabsorbed into the sending neurons through the process of reuptake. This process applies brakes on neurotransmitter action.
62
Lock & Key Mechanism
  • Neurotransmitters bind to the receptors of the receiving neuron in a key-lock mechanism.
63
The Nervous System
  • Nervous System: Consists of all the nerve cells. It is the body’s speedy, electrochemical communication system.


  • Central Nervous System (CNS): the brain and spinal cord.


  • Peripheral Nervous System (PNS): the sensory and motor neurons that connect the central nervous system (CNS) to the rest of the body.
64
The Nervous System
65
Kinds of Neurons
  • Sensory Neurons carry incoming information from the sense receptors to the CNS. Motor Neurons carry outgoing information from the CNS to muscles and glands. Interneurons connect the two neurons.
66
Kinds of Glia Cells
  • Astrocytes provide nutrition to neurons. Oligodendrocytes and Schwann cells insulate neurons as myelin.
67
Peripheral Nervous System
  • Somatic Nervous System: The division of the peripheral nervous system that controls the body’s skeletal muscles.


  • Autonomic Nervous System: Part of the PNS that controls the glands and other muscles.
68
Autonomic Nervous System (ANS)
  • Sympathetic Nervous System: division of the ANS that arouses the body, mobilizing its energy in stressful situations.


  • Parasympathetic Nervous System: division of the ANS that calms the body, conserving its energy.
69
The Endocrine System
70
Hormones
  • Hormones are chemicals synthesized by the endocrine glands and secreted in the bloodstream. Hormones affect the brain many other tissues of the body.


71
The Brain

Module 5
72
PET Scan
73
MRI Scan
74
Older Brain Structures
  • Brainstem the oldest part of the brain, beginning where the spinal cord swells and enters the skull. Responsible for automatic survival functions.
75
Brain Stem
  • Medulla [muh-DUL-uh] base of the brainstem, controls heartbeat and breathing.


  • Reticular Formation a nerve network in the brainstem that plays an important role in controlling arousal.
76
Brain Stem
  • Thalamus [THAL-uh-muss] the brain’s sensory switchboard, located on top of the brainstem. It directs messages to the sensory areas in the cortex and transmits replies to the cerebellum and medulla.
77
Cerebellum
  • The “little brain” attached to the rear of the brainstem. It helps coordinate voluntary movements and balance.
78
The Limbic System
  • Limbic System a doughnut-shaped system of neural structures at the border of the brainstem and cerebrum, associated with emotions such as fear, aggression and drives for food and sex. It includes the hippocampus, amygdala, and hypothalamus.
79
Amygdala
  • Amygdala [ah-MIG-dah-la] two almond-shaped neural clusters linked to emotion of fear and anger.
80
Hypothalamus
  • Hypothalamus lies below (hypo) the thalamus; directs several maintenance activities like eating, drinking, body temperature, and emotions. Helps govern the endocrine system via the pituitary gland.
81
The Cerebral Cortex
  • The intricate fabric of interconnected neural cells that covers the cerebral hemispheres. The body’s ultimate control and information processing center.
82
Structure of the Cortex
  • Each brain hemisphere is divided into four lobes, separated by prominent fissures. They are frontal lobes (forehead), parietal lobes (top to rear head), occipital lobes (back head) and temporal lobes (side of head).
83
Functions of the Cortex
  • Motor Cortex area at the rear of the frontal lobes controls voluntary movements. Sensory Cortex (parietal cortex) receives information from skin surface and sense organs.
84
Visual Function
  • Functional MRI scan shows the visual cortex activates as the subject looks at faces.
85
Auditory Function
  • Functional MRI scan shows the auditory cortex is activated in patients who hallucinate (hear voices).
86
Language
87
The Brain’s Plasticity
  • Brain is sculpted by our genes but also by our experiences.


  • Plasticity refers to the brain’s ability to modify itself after some type of injury or illness.
88
Our Divided Brain
  • Our brain is divided into two hemispheres.
  • Left hemisphere processes reading, writing, speaking, mathematical, comprehension skills, and thus termed as the dominant brain in the 1960s.
  • The right hemisphere is specialized for visual-spatial skills and creativity.
89
Behavior Genetics and Evolutionary Psychology

Module 6
90
Behavior Genetics: Predicting Individual Differences
91
Genome
92
Twins and Procedures
93
Separated Twins
94
Parenting
95
Temperament Studies
96
Gene-Environment Interaction
97
Evolutionary Psychology: Understanding Human Nature
98
Environmental Influences on Behavior

Module 7
99
Prenatal Environment
100
Experience and Brain Development
101
Experience and Faculties
102
Brain Development and Adulthood
103
Parental Influence
104
Peer Influence
105
Cultural Influences
106
Variation Across Culture
107
Culture and Child-Rearing
108
Gender Roles
109
Reflections on Nature and Nurture
110
Prenatal Development and the Newborn

Module 8
111
Developmental Psychology
112
Prenatal Development
113
Prenatal Development
114
The Competent Newborn
115
The Competent Newborn
116
Infancy and Childhood

Module 9
117
Maturation
118
Cognitive Development
119
Schemas
120
Assimilation and Accommodation
121
Piaget’s Theory and Current Thinking
122
Social Development
123
Origins of Attachment
124
Origins of Attachment
125
Attachment Differences
126
Separation Anxiety
127
Child-Rearing Practices
128
Introduction to Sensation and Perception

Module 12
129
Sensation & Perception
  • How do we construct our representations of the external world?


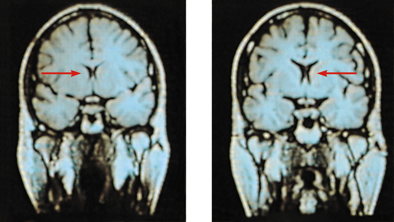
  • To represent the world, we must detect physical energy (stimulus) from the environment and convert it into neural signals, a process called sensation.


  • When we select, organize, and interpret our sensations, the process is called perception.
130
Bottom-up Processing
  • Analysis of the stimulus begins with the sense receptors and works up to the level of the brain and mind.
131
Top-Down Processing
  • Information processing guided by higher-level mental processes as we construct perceptions drawing on our experience and expectations.
132
Thresholds
  • Absolute Threshold: Minimum stimulation needed to detect a particular stimulus 50% of the time.
133
Subliminal Threshold
  • When stimuli are below one’s absolute threshold for conscious awareness.
134
Difference Threshold
  • Difference Threshold: Minimum difference between two stimuli required for detection 50% of the time, also called just noticeable difference (JND).
135
Signal Detection Theory (SDT)
136
Sensory Adaptation
  • Diminished sensitivity as a consequence of constant stimulation.
137
Selective Attention
  • Perceptions about objects change from moment to moment. Different forms of Necker cube become available to our perception, however, one can pay attention only to one aspect of the object.
138
Inattentional Blindness
  • Inattentional blindness refers to inability to see a an object or a person amidst an engrossing scene. Simmons & Chabris (1999) showed that half of the observers failed to see the gorilla-suited assistant in a ball passing game.
139
Change Blindness
  • Change blindness is a form of inattentional blindness, where two-thirds of direction giving individuals failed to notice a change in the individual who was asking for directions.
140
Vision

Module 13
141
Transduction
  • In sensation, transformation of stimulus energy into neural impulses.


  • Phototransduction: Conversion of light energy into neural impulses that the brain can understand.


142
The Stimulus Input: Light Energy
143
Light Characteristics
  • Wavelength (hue/color)
  • Intensity (brightness)
  • Saturation (purity)
144
Wavelength (Hue)
  • Hue (color): dimension of color determined by wavelength of light.


  • Wavelength the distance from the peak of one wave to the peak of the next.
145
Wavelength (Hue)
146
Intensity (Brightness)
  • Intensity Amount of energy in a wave determined by amplitude; related to perceived brightness.
147
The Eye
148
Parts of the eye
  • Cornea: Transparent tissue where light enters the eye.
  • Iris: Muscle that expands and contracts to change the size of opening (pupil) for light.
  • Lens: Focuses the light rays on the retina.
  • Retina: Contains sensory receptors that process visual information and send it to the brain.
149
The Lens
  • Lens:  Transparent structure behind pupil that changes shape to focus images on the retina.


  • Accommodation: The process by which the eye’s lens changes shape to help focus near or far objects on the retina.
150
Retina
  • Retina: The light-sensitive inner surface of the eye, containing receptor rods and cones plus layers of other neurons (bipolar, ganglion cells) that process visual information.
151
Optic Nerve, Blind Spot & Fovea
152
Photoreceptors
153
Visual Information Processing
154
Feature Detection
155
Shape Detection
156
Perception in Brain
157
Visual Information Processing
  • Processing of several aspects of the stimulus simultaneously is called parallel processing. The brain divides a visual scene into subdivisions such as color, depth, form and movement etc.
158
Theories of Color Vision
  • Trichromatic theory:  Based on behavioral experiments, Helmholtz suggested that retina should contain three receptors sensitive to red, blue and green colors.
159
Addition of Colors
  • If three primary colors (lights) are mixed the wavelengths are added and they result in white color.
160
Photoreceptors
161
Opponent Process Theory
  • Hering, proposed that we process four primary colors opposed in pairs of red-green, blue-yellow, and black-white.
162
Color Constancy
  • Color of an object remains the same under different illuminations. However, when context changes color of an object may look different.
163
Hearing

Module 14
164
The Stimulus Input: Sound Waves
  • Sound waves are composed of compression and rarefaction of air molecules.
165
Sound Characteristics
  • Frequency (pitch)
  • Intensity (loudness)
  • Quality (timbre)
166
Frequency (Pitch)
  • Frequency (pitch): Dimension of frequency determined by wavelength of sound.


  • Wavelength: The distance from the peak of one wave to the peak of the next.
167
Intensity (Loudness)
  • Intensity (Loudness): Amount of energy in a wave determined by amplitude - relates to perceived loudness.
168
The Ear
169
The Ear
  • Outer Ear: Pinna. Collects sounds.


  • Middle Ear: Chamber between eardrum and cochlea containing three tiny bones (hammer, anvil, stirrup) that concentrate the vibrations of the eardrum on the cochlea’s oval window.


  • Inner Ear: Innermost part of the ear, containing the cochlea, semicircular canals, and vestibular sacs.
170
Cochlea
  • Cochlea:  Coiled, bony, fluid-filled tube in the inner ear that transduces sound vibrations to auditory signals.
171
Localization of Sounds
  • Because we have two ears sounds that reach one ear faster than the other makes us localize the sound.
172
Localization of Sound
  • 1. Intensity differences
  • 2. Time differences


  • Time differences as small as 1/100,000 of a second can lead to localize sound. Head acts as “shadow” or partial sound barrier.
173
Perceptual Organization

Module 16
174
Perceptual Organization
  • When vision competes with other senses vision usually wins – a phenomenon called visual capture.


  • How do we form meaningful perceptions from sensory information?


  • We organize it. Gestalt psychologists showed that a figure formed a “whole” different than its surroundings.
175
Form Perception
  • Organization of the visual field into objects (figures) that stand out from their surroundings (ground).
176
Grouping
177
Binocular Cues
  • Retinal disparity: Images from the two eyes differ. Try looking at your two fingers half an inch apart about 5 inches away. You will see a “finger sausage” as shown in the inset.
178
Binocular Cues
  • Convergence: Neuromuscular cues. When two eyes move inward (towards the nose) to see near objects, and outward (away from the nose) to see far away objects.
179
Monocular Cues
  • Relative Size: If two objects are similar in size, we perceive one that casts a smaller retinal image as farther away.
180
Monocular Cues
  • Interposition: Objects that occlude (block) other objects tend to be perceived as closer.
181
Monocular Cues
182
Monocular Cues
  • Texture Gradient: Indistinct (fine) texture signals increasing distance.
183
Monocular Cues
  • Relative Height: We perceive objects higher in our field of vision as farther away.
184
Monocular Cues
  • Relative motion: Objects closer to a fixation point move faster and in opposing direction to objects farther away from a fixation point, which move slower and in the same direction.
185
Monocular Cues
  • Linear Perspective: Parallel lines like railroad tracks, appear to converge with distance. The more the lines converge, the greater their perceived distance.
186
Monocular Cues
  • Light and Shadow: Nearby objects reflect more light to our eyes. Given two identical objects, the dimmer one seems further away.
187
Perceptual Constancy
  • Perceiving objects as unchanging even as illumination and retinal image change. Perceptual constancies include constancies of shape and size.
188
Size Constancy
  • Stable size perception amid changing size of the stimuli.
189
Lightness Constancy
190
Color Constancy
  • Perceiving familiar objects as having consistent color, even if changing illumination filters the light reflected by the object.
191
Perceptual Interpretation

Module 17
192
Schemas
193
Cultural Context
194
Is There Extrasensory Perception?
  • Perception without sensory input is called extrasensory perception (ESP). A large percentage of scientists do not believe in ESP.
195
Claims of ESP
  • Paranormal phenomena include claims of astrological predictions, psychic healing, communication with the dead and out-of-body experience, but the most relevant are telepathy, clairvoyance and precognition.
196
Claims of ESP
  • Telepathy: Mind-to mind communication. One person sending thoughts and the other receiving it.
  • Clairvoyance: Perception of remote events. Like sensing a friend’s house on fire.
  • Precognition: Perceiving future events. Such as a political leader’s death.
197
Premonitions or Pretensions?
  • Can psychics see the future? Can psychics aid police in identifying locations of dead bodies? What about psychic predictions of the famous Nostradamus?


  • The answers to these questions are NO! Nostradamus’ predictions are “retrofitted” to events that took place afterwards.
198
Putting ESP to Experimental Test
  • In an experiment with 28,000 individuals, Wiseman tested psychically influencing or predicting a coin toss. People were able to correctly influence or predict a coin toss 49.8% of the time.
199
Classical Conditioning

Module 21
200
Definition
  • Learning is a relatively permanent change in an organism’s behavior due to experience.


  • Learning thus is more flexible, unlike genetically programmed behaviors of say, Chinooks.
201
Stimulus-Stimulus Learning
202
Response-Consequence Learning
203
Classical Conditioning
  • Ideas a of classical conditioning originate from old philosophical theories, however it was a Russian physiologist Ivan Pavlov who elucidated classical conditioning. His work became seminal for later behaviorists like John Watson and B. F. Skinner.
204
Pavlov’s Experiments
205
Pavlov’s Experiments
206
Acquisition
  • The initial stage in classical conditioning. during which association between a neutral stimulus and a US takes place.
207
Extinction
  • When a US (food) does not follow a CS (tone) CR (salivation) starts to decrease and at some point goes extinct.
208
Spontaneous Recovery
  • After a rest period an extinguished CR (salivation) spontaneously recovers and if CS (tone) persists alone becomes extinct again.
209
Stimulus Generalization
  • Tendency to respond to stimuli similar to CS is called generalization. Pavlov conditioned the dog’s salivation (CR) by using miniature vibrators (CS) to the thigh. When he subsequently stimulated other parts of the dog’s body, salivation dropped.
210
Stimulus Discrimination
  • Discrimination is the learned ability to distinguish between a CS and other stimuli that do not signal a US.
211
Operant Conditioning

Module 22
212
Skinner’s Experiments
  • Skinner’s experiments extend Thorndike’s thinking especially his law of effect which states that rewarded behavior is likely to recur.
213
Operant Chamber
  • Using Thorndike's law of effect as a starting point Skinner developed the Operant chamber or the Skinner box to study operant conditioning.
214
Shaping
  • Operant conditioning procedure in which reinforcers guide behavior closer towards target behavior through successive approximations.
215
Types of Reinforcers
  • Any event that strengthens the behavior it follows. A heat lamp positively reinforces a meerkat’s behavior in cold.
216
Primary & Secondary Reinforcers
  • Primary Reinforcer: Innately reinforcing stimulus like food or drink.


  • Conditioned Reinforcer: Is a learned reinforcer. It gets its reinforcing power through its association with primary reinforcer.
217
Immediate & Delayed Reinforcers
  • Immediate Reinforcer: A reinforcer that occurs closely to a behavior in time. Rat gets a food pellet for a bar press.


  • Delayed Reinforcer: A reinforcer that is delayed in time for a certain behavior. A paycheck that comes at the end of a week.
218
Reinforcement Schedules
  • Continuous Reinforcement: Reinforcing the desired response each time it occurs.


  • Partial Reinforcement: Reinforcing a response only part of the time. Though results in slower acquisition in the beginning, shows greater resistance to extinction later on. Partial reinforcements can be.
219
Ratio Schedules
  • Fixed-ratio schedule: Reinforces a response only after a specified number of responses e.g., like piecework pay.


  • Variable-ratio schedule: Reinforces a response after an unpredictable number of responses. Hard to extinguish because of unpredictability, e.g., behaviors like gambling, fishing.
220
Interval Schedules
  • Fixed-interval schedule: Reinforces a response only after a specified time has elapsed e.g., preparing for an exam only when the exam draws close.


  • Variable-interval schedule: Reinforces a response at unpredictable time intervals. produces slow steady responding, e.g., like pop quiz.
221
Punishment
  • An aversive event that decreases the behavior that it follows.
222
Punishment
  • Punishment can result in unwanted fears.
  • Conveys no information to the organism.
  • Justifies pain to others.
  • Unwanted behaviors reappear in its absence.
  • Aggression towards the agent.
  • One unwanted behavior appears in place of another.
223
Motivation
  • Intrinsic Motivation: The desire to perform a behavior for its own sake.


  • Extrinsic Motivation: The desire to perform a behavior due to promised rewards or threats of punishments.


224
Learning by Observation

Module 23
225
Learning by Observation
  • Higher animals especially humans learn through observing and imitating others.


  • Monkey on the right imitates monkey on the left in touching the pictures in a certain order to get reward.
226
Imitation Onset
  • Learning by observation comes about early in life. This 14 month old child imitates the adult on TV in pulling a toy apart.
227
Bandura's Experiments
  • Bandura's Bobo doll study (1961) indicated that individuals (children) learn through imitating others who receive reward and punishments.


228
Applications of Observational Learning
  • Bad news from Bandura’s studies is that antisocial models (family, neighborhood or TV) may have antisocial effects.


229
Positive Observational Learning
  • The good news is that prosocial (positive, helpful) models can have prosocial effects.
230
Television and Observational Learning
  • Gentile et al., (2004) showed that elementary school going children who were exposed to violent television, videos and video games expressed increased aggression.
231
Introduction to Memory

Module 24
232
The Phenomenon of Memory
  • Memory is any indication that learning has persisted over time. It is our ability to store and retrieve information.
233
Flashbulb Memory
  • An unique and highly emotional moment can give rise to clear, strong, and persistent memory called flashbulb memory. Though this memory is not free from errors.
234
Stages of Memory
235
Information Processing
  • Atkinson-Schiffrin (1968) three-stage model of memory includes a) sensory memory, b) short-term memory and c) long-term memory.
236
Encoding: Getting Information in

Module 25
237
Encoding: Getting Information In
238
Memory Effects
  • Next-in-line-Effect: When your recall is better for what other people say but poor for a person just before you in line.


  • Spacing Effect: We retain information better when our rehearsal is distributed over time.


  • Serial Position Effect: When your recall is better for first and last items, but poor for middle items on a list.
239
Visual Encoding
  • Mental pictures (imagery) are a powerful aid to effortful processing, especially when combined with semantic encoding.
240
Organizing Information for Encoding
  • Complex information broken down into broad concepts and further subdivided into categories and subcategories.
241
Chunking
  • Organizing items into familiar, manageable unit. Try to remember the number below.
242
Chunking
243
Hierarchy
244
Storage: Retaining Information

Module 26
245
Storage: Retaining Information
246
Sensory Memories
247
Working Memory
  • Working memory, a new name for short-term memory, has limited capacity (7±2) and short duration (20 seconds).
248
Chunking
  • F-B-I-T-W-A-C-I-A-I-B-M
249
Duration
  • Brown/Peterson and Peterson (1958/1959) measured the duration of working memory by manipulating rehearsal.
250
Long-Term Memory
  • Unlimited capacity store. Estimates on capacity range from 1000 billion to 1,000,000 billion bits of information (Landauer, 1986).
251
Memory Stores
252
Synaptic Changes
  • Long-Term Potentiation (LTP) refers to synaptic enhancement after learning (lynch, 2002). Increase in neurotransmitter release or receptors on the receiving neuron indicates strengthening of synapses.
253
Storing Implicit & Explicit Memories
  • Explicit Memory refers to facts and experiences that one can consciously know and declare. Implicit memory involves learning an action, and the individual does not know or declare what she knows.
254
 
255
Anterograde Amnesia
  • Anterograde
  • Amnesia
  • (HM)
256
 
257
Retrieval: Getting Information Out

Module 27
258
Measures of Memory
259
Measures of Memory
260
Measures of Memory
261
Priming
262
Context Effects
263
Context Effects
  • After learning to move a mobile by kicking, infants most strongly responded when retested in the same rather than a different context (Butler & Rovee-Collier, 1989).
264
Moods and Memories
  • Tendency to recall experiences that are consistent with one’s current mood. Emotions, or moods serve as retrieval cues.
265
Forgetting, Memory Construction and Applying Memory Principles to Your Own Education

Module 28
266
Forgetting
267
Encoding Failure
268
Storage Decay
269
Retrieval Failure
  • Although the information is retained in the memory store it cannot be accessed.
270
Interference
  • Learning some information may disrupt
  • retrieval of other information.
271
Retroactive Interference
272
Motivated Forgetting
  • Motivated Forgetting: People unknowingly revise their memories.


  • Repression: Defense mechanism that banishes anxiety-arousing thoughts, feelings, and memories from consciousness.
273
Memory Construction
  • While tapping our memories, we filter or fill in missing pieces of information to make our recall more coherent.
274
Misinformation and Imagination Effects
  • Eyewitnesses reconstruct memories when questioned about the event.
275
Misinformation
  • Group A: How fast were the cars going when they hit each other?


  • Group B: How fast were the cars going when they smashed into each other?
276
Memory Construction
277
Source Amnesia
278
False Memories
  • Repressed or Constructed?
  • Some adults do actually forget childhood episodes of abuse.


  • False Memory Syndrome
  • A condition in which a person’s identity and relationships center around a false but strongly believed memory of traumatic experience sometimes induced by well-meaning therapists.
279
Children’s Eyewitness Recall
  • Children’s eyewitness recall can be unreliable if leading questions are posed, however, if cognitive interviews are neutrally worded accuracy of their recall increases usually suggesting lower percentage of sexual abuse.
280
Memories of Abuse
  • Are memories of abuse repressed or constructed?


  • Many psychotherapists believe that early childhood sexual abuse results in repressed memories.


  • However other psychologists question such beliefs and think that such memories may be constructed.
281
Consensus on Childhood Abuse
  • Injustice happens
  • Incest and other sexual abuse happens
  • Forgetting happens
  • Recovered memories are commonplace
  • Recovered memories under hypnosis or drugs are unreliable.
  • Memories of things happening before 3 years are unreliable
  • Memories whether real or false are emotionally upsetting
282
The Psychoanalytic Perspective

Module 44
283
Psychodynamic Perspective
  • Freud’s clinical experience led him to develop the first comprehensive theory of personality which included, the unconscious mind, psychosexual stages and defense mechanisms.
284
Exploring the Unconscious
  • A reservoir (unconscious mind) of mostly unacceptable thoughts, wishes, feelings and memories. Freud asked patients to say whatever came to their mind (free association) to tap the unconscious.
285
Model of Mind
286
Personality Structure
  • Personality develops as a result of our efforts to resolve conflicts between our biological impulses (id) and social restraints (superego).
287
Id, Ego and Superego
  • Id unconsciously strives to satisfy basic sexual and aggressive drives operating on the pleasure principle, demanding immediate gratification.
288
Psychosexual Stages
289
Defense Mechanisms
  • Ego’s protective methods of reducing anxiety by unconsciously distorting reality.
290
Defense Mechanisms
291
Defense Mechanisms
292
Assessing Unconscious Processes
  • Evaluating personality from an unconscious mind perspective would require a psychological instrument (projective tests) that would reveal the hidden unconscious mind.
293
Thematic Apperception Test (TAT)
  • Developed by Henry Murray, TAT is a projective test in which people express their inner feelings and interests through the stories they make up about ambiguous scenes.
294
Rorschach Inkblot Test
  • The most widely used projective test with a set of 10 inkblots was designed by Hermann Rorschach. It seeks to identify people’s inner feelings by analyzing their interpretations of the blots.
295
Projective Tests: Criticisms
  • Critics argue that projective test lack both reliability (consistency of results) and validity (predicting what it is supposed to).
296
Evaluating the Psychoanalytic Perspective
  • Personality develops throughout life and is not fixed in childhood.
  • Freud underemphasize peer influence on the individual which may be as powerful as parental influence.
  • Gender identity may develop before 5-6 years of age.
297
Evaluating the Psychoanalytic Perspective
  • There may be other reasons for dreams to arise than wish fulfillment.
  • Verbal slips can be explained on basis of cognitive processing of verbal choices.
  • Suppressed sexuality leads to psychological disorders. Sexual inhibition has decreased, but psychological disorders have not.
298
Evaluating the Psychoanalytic Perspective
  • Freud's psychoanalytic theory rests on repression of painful experiences into the unconscious mind.
299
Evaluating the Psychoanalytic Perspective
  • Freud was right about the unconscious mind. Modern research shows the existence non-conscious information processing.
300
The Humanistic Perspective

Module 45
301
Humanistic Perspective
  • By 1960s psychologists had become discontented with Freud’s negativity and the mechanistic psychology of the behaviorists.
302
Self-Actualizing Person
  • Maslow proposed that we as individuals are motivated by a hierarchy of needs. Starting with physiological needs we try to reach the state of self-actualization fulfilling our potential.
303
Growth and Fulfillment
  • Carl Rogers also believed in individual's self-actualization tendencies. Unconditional Positive Regard, he said, was an attitude of acceptance of others amidst their failings.
304
Evaluating the Humanistic Perspective
  • Humanistic psychology had pervasive impact on counseling, education, child-rearing and management.
  • Concepts in humanistic psychology are vague and subjective and lacked scientific basis.
  • Gender identity may develop before 5-6 years of age.
305
Contemporary Research on Personality

Module 46
306
The Trait Perspective
  • An individual’s unique constellation of durable dispositions and consistent ways of behaving (traits) constitutes his personality.
307
Personality Type
  • Personality types, assessed by measures like the Myers-Briggs Type Indicator, consist of a number of traits, e.g., Feeling type personality is sympathetic, appreciative and tactful.
308
Personality Dimensions
  • Hans and Sybil Eysenck suggested that personality could be reduced down to two polar dimensions, extraversion-introversion and emotional stability-instability.
  • Where would you place yourself?
309
MMPI
  • Minnesota Multiphasic Personality Inventory (MMPI) the most widely researched and clinically used of all personality tests originally developed to identify emotional disorders.
310
The Big Five Factors
  • Today’s trait researchers believe that Eysencks’ personality dimensions are too narrow and Cattell’s 16PF too large. So a middle range (five factors) of traits does a better job of assessment.
311
Personal Control
  • External locus of control refers to the perception that chance or outside forces beyond our personal control determine our fate.
312
Learned Helplessness
  • When unable to avoid repeated aversive events an animal or human learns hopelessness.
313
Positive Psychology and Humanistic Psychology
  • Positive psychology like humanistic psychology attempts to foster human fulfillment. Positive psychology in addition seeks positive subjective well-being, positive character and positive social groups.
314
Social Thinking

Module 55
315
Focuses in Social Psychology
316
Attributing Behavior to Persons or to Situations
  • Attribution Theory: Fritz Heider (1958) suggested that we have a tendency to give causal explanations for someone’s behavior, often by crediting either the situation or the person’s disposition.
317
Fundamental Attribution Error
  • The tendency to overestimate the impact of personal disposition and underestimate the impact of the situations in analyzing the behaviors of others leads to fundamental attribution error.
318
Effects of Attribution
  • How we explain someone’s behavior affects how we react to it.
319
Attitude
  • Belief and feeling that predisposes one to respond in a particular way to objects, people and events.
320
Attitudes Can Affect Action
  • Not only do people stand for what they believe [attitude] in, but they start believing in what they stand for.
321
Role Playing Affects Attitudes
  • Zimbardo (1972) assigned the role of guards and prisoners to random students and found that guards and prisoners developed role appropriate attitudes.
322
Actions Can Affect Attitudes
  • Why do actions affect attitudes? One explanation is that when our attitudes and actions are opposed, we experience tension, called cognitive dissonance.
323
Cognitive Dissonance
324
Social Influence

Module 56
325
Social Influence
  • The greatest contribution of social psychology is its study of attitudes, beliefs, decisions, and actions and the way they are molded by social influence.
326
Group Pressure & Conformity
327
Group Pressure & Conformity
  • Influence resulting from one’s willingness to accept others’ opinions about reality.
328
Conditions that Strengthen Conformity
  • One is made to feel incompetent or insecure.
  • The group has at least three people.
  • The group is unanimous.
  • One admires the group’s status and attractiveness.
  • On has no prior commitment to response.
  • The group observes one’s behavior.
  • One’s culture strongly encourages respect for social standard.
329
Obedience
330
Milgram’s Study
331
Milgram’s Study: Results
332
Individual Behavior in the Presence of Others
  • Social facilitation: Refers to improved performance on a task in the presence of others. Triplett (1898) noticed cyclists’ race time were faster when they competed against others than against a clock.


  • Describe a time in your life when you experienced social facilitation.
333
Social Loafing
  • Tendency of an individual in a group to exert less effort toward attaining a common goal than when tested individually (Latané, 1981).


  • In small groups, decide what athletic sport is likely to elicit relatively more social loafing.


  • In small groups, decide what athletic sport is likely to elicit relatively less social loafing.
334
Deindividuation
  • Loss of self-awareness and self-restraint in group situations that foster arousal and anonymity.
335
Effects of Group Interaction
  • Group Polarization: enhances group’s prevailing attitudes through discussion. If a group is like-minded, discussion strengthens its prevailing opinions and attitudes.
336
Groupthink
  • Mode of thinking that occurs when the desire for harmony in a decision-making group overrides realistic appraisal of alternatives.


  • As our book notes, the phenomenon of groupthink helps to explain our failure to anticipate the Japanese attack on Pearl Harbor, the escalation of the Vietnam War, the Watergate cover-up, the space shuttle Challenger explosion, and the belief that Iraq had WMD. Groupthink is often a concern when juries deliberate to arrive at a guilty or not guilty verdict (e.g., film Twelve Angry Men).


  • What mechanisms could be used in the jury room to avoid groupthink?
337
Antisocial Relations

Module 57
338
Prejudice
  • Simply called, “prejudgment,” a prejudice is an unjustifiable (usually negative) attitude toward a group and its members – often of different cultural, ethnic or gender groups.
339
Social Roots of Prejudice
  • Why does prejudice arise?
340
Social Inequality
  • When people have money, power and prestige, and others do not, prejudice develops. Social inequality increases prejudice.
341
In and Out Groups
  • Ingroup: People with whom one shares a common identity. Outgroup: Those perceived as different from one’s ingroup. Ingroup Bias: The tendency to favor one’s own group.
342
Emotional Roots of Prejudice
  • Prejudice provides an outlet for anger [emotion] by providing someone to blame. After 9/11 many people lashed out against innocent Arab-Americans.
343
Cognitive Roots of Prejudice
  • One way we simplify our world is to categorize. We categorize people into groups by stereotyping them.
344
Cognitive Roots of Prejudice
345
Prosocial Relations

Module 58
346
Psychology of Attraction
  • Proximity: Geographic nearness is a powerful predictor of friendship. Repeated exposure to novel stimuli increases their attraction (mere exposure effect).
347
Psychology of Attraction
  • 2. Physical Attractiveness: Once proximity affords contact the next most important thing in attraction is physical appearance.
348
Psychology of Attraction
  • 3. Similarity: Having similar views between individuals causes the bond of attraction to strengthen.
349
Romantic Love
  • Passionate Love: An aroused state of intense positive absorption in another usually present at the beginning of a love relationship.
350
Romantic Love
  • Companionate Love: Deep affectionate attachment we feel for those with whom our lives are intertwined.
351
Altruism
  • What is the most altruistic thing that you have done in your life?
352
Bystander Effect
  • Tendency for any given bystander to be less likely to give aid if other bystanders are present.
353
Peacemaking
  • Superordinate Goals are shared goals that override differences among people and require their cooperation.
354
Peacemaking
  • Graduated & Reciprocated Initiatives in Tension-Reduction (GRIT) A strategy designed to decrease international tensions. One side recognizes mutual interests and initiates a small conciliatory act that opens the door for reciprocation by the other party.
355
Introduction to Psychological Disorders

Module 47
356
Defining Psychological Disorders
  • Mental health workers view psychological disorders as persistently harmful thoughts, feelings and action.
357
Deviant, Distressful & Dysfunctional
  • Deviant behavior (going naked) in one culture may be considered normal while in others leads to arrest.
  • Deviant behavior must accompany distress.
  •  If a behavior is dysfunctional it is clearly a disorder.
358
Medical Model
  • When physicians discovered that syphilis led to mental disorders, the medical model started looking at physical causes of these disorders.
359
Biopsychosocial Perspective
  • Assumes that biological, socio-cultural, and psychological factors combine and interact to produce psychological disorders.
360
Classifying Psychological Disorders
  • American Psychiatric Association rendered a Diagnostic and Statistical Manual of Mental Disorders (DSM) to describe psychological disorders.
361
Anxiety Disorders

Module 48
362
Anxiety Disorders
  • Feelings of excessive apprehension and anxiety.
363
Generalized Anxiety Disorder
  • Persistent and uncontrollable tenseness and apprehension.
364
Panic Disorder
  • Minute-long episodes of intense dread which may include feelings of terror, chest pains, choking or other frightening sensations.
365
Phobia
  • Marked by a persistent and irrational fear of an object or situation that disrupts behavior.
366
Obsessive-Compulsive Disorder
  • Persistence of unwanted thoughts (obsessions) and urge to engage in senseless rituals (compulsions) that cause distress.
367
Post-Traumatic Stress Disorder
  • Four or more weeks of the following symptoms constitute post-traumatic stress disorder (PTSD).
368
Dissociative and Personality Disorders

Module 49
369
Dissociative Disorder
  • Conscious awareness becomes separated (dissociated) from previous memories, thoughts, and feelings.
370
Dissociative Identity Disorder (DID)
  • Is a disorder in which a person exhibits two or more distinct and alternating personalities formerly called multiple personality disorder.


371
Personality Disorders
  • Characterized by inflexible and enduring behavior patterns that impair social functioning. Usually without anxiety, depression, or delusions.
372
Antisocial Personality Disorder
  • Disorder in which the person (usually men) exhibits a lack of conscience for wrongdoing, even towards friends and family members. Formerly called sociopath or psychopath.
373
Mood Disorders

Module 50
374
Mood Disorders
  • Emotional extremes of mood disorders come in two principal forms.
375
Major Depressive Disorder
  • Major depressive disorder occurs when signs of depression last two weeks or more and are not caused by drugs or medical conditions.
376
Dysthymic Disorder
377
Bipolar Disorder
  • Formerly called manic-depressive disorder, alteration between depression and mania signals bipolar disorder.
378
Schizophrenia

Module 51
379
Schizophrenia
  • If depression is the common cold of psychological disorders schizophrenia is the cancer.
380
Symptoms of Schizophrenia
  • Literal translation “split mind”. A group of severe disorders characterized by:
381
Disorganized & Delusional Thinking
382
Disorganized & Delusional Thinking
  • Many psychologists believe disorganized thoughts occur because of selective attention failure (fragmented and bizarre thoughts).
383
Disturbed Perceptions
  • A schizophrenic person may perceive things that are not there (hallucinations). Frequently such hallucinations are auditory, and less often  visual, somatosensory, olfactory or gustatory.
384
Inappropriate Emotions & Actions
  • A schizophrenic person may laugh at the news of someone dying, or show no emotion at all (apathy).
385
Positive and Negative Symptoms
  • Schizophrenics have inappropriate symptoms (hallucinations, disorganized thinking, deluded ways) not present in normal individuals (positive symptoms).
386
Chronic and Acute Schizophrenia
  • When schizophrenia is slow to develop (chronic/process) recovery is doubtful. Such schizophrenics usually displays negative symptoms.
387
Thinking

Module 29
388
Problem Solving
  • There are two ways to solve problems:
389
Algorithms
  • Algorithms exhaust all possibilities before arriving at a solution. They take a long time. Computers use algorithms.
390
Heuristics
391
Heuristics
  • Heuristics make it easy for us to use simple principles to arrive at solutions to problems.
392
Introduction to Intelligence

Module 31
393
What is Intelligence?
394
General Intelligence
395
Howard Gardner
396
Robert Sternberg
397
Alfred Binet
398
Lewis Terman
399
Reliability
400
Validity
401
Genetic Influences