Notes
Slide Show
Outline
1
The Brain

Module 5
2
The Brain
  • The Brain
    • The Tools of Discovery
    • Older Brain Structures
    • The Cerebral Cortex
    • Our Divided Brain
    • Left Brain-Right Brain
3
Let’s look at the human brain!
4
Let’s consider a brain transplant scenario
5
The Brain
  • Brain lesion experimentally destroys brain tissue to study animal behaviors after such destruction.
6
Clinical Observation
    • Clinical observations have shed light on a number of brain disorders. Alterations in brain morphology due to neurological and psychiatric diseases are now being catalogued.
7
Electroencephalogram (EEG)
    • An amplified recording of the electrical waves sweeping across the brain’s surface, measured by electrodes placed on the scalp.
8
PET Scan
9
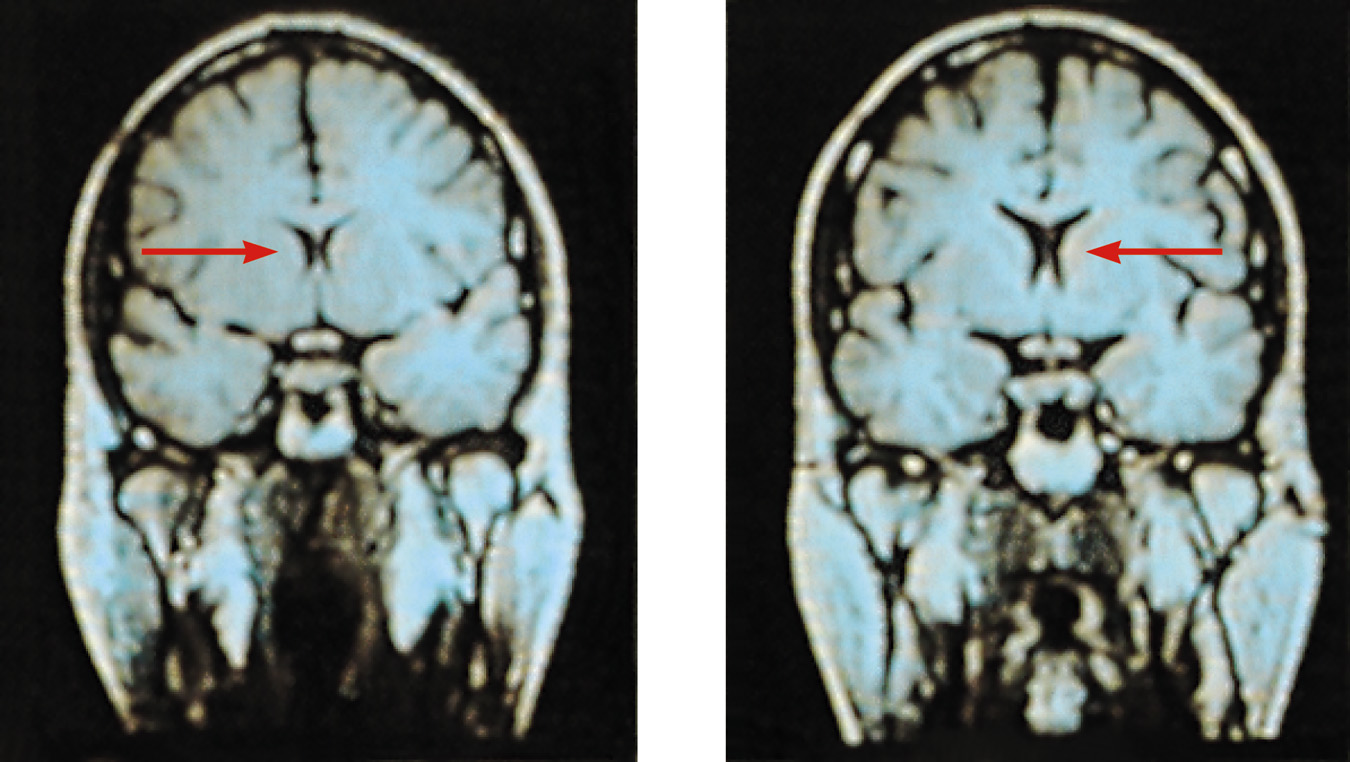
MRI Scan
10
Older Brain Structures
  • Brainstem the oldest part of the brain, beginning where the spinal cord swells and enters the skull. Responsible for automatic survival functions.
11
Brain Stem
  • Medulla [muh-DUL-uh] base of the brainstem, controls heartbeat and breathing.


  • Reticular Formation a nerve network in the brainstem that plays an important role in controlling arousal.
12
Brain Stem
13
Brain Stem
  • Thalamus [THAL-uh-muss] the brain’s sensory switchboard, located on top of the brainstem. It directs messages to the sensory areas in the cortex and transmits replies to the cerebellum and medulla.
14
Cerebellum
  • The “little brain” attached to the rear of the brainstem. It helps coordinate voluntary movements and balance.
15
The Limbic System
  • Limbic System a doughnut-shaped system of neural structures at the border of the brainstem and cerebrum, associated with emotions such as fear, aggression and drives for food and sex. It includes the hippocampus, amygdala, and hypothalamus.
16
Amygdala
  • Amygdala [ah-MIG-dah-la] two almond-shaped neural clusters linked to emotion of fear and anger.
17
A TRUE Valentine’s Day Card
18
Hypothalamus
  • Hypothalamus lies below (hypo) the thalamus; directs several maintenance activities like eating, drinking body temperature, and emotions. Helps govern the endocrine system via the pituitary gland.
19
Reward Center
  • Rats cross an electrified grid for self-stimulation, when electrodes are placed in the reward (hypothalamus) center (top picture). When the limbic system is manipulated rat will navigate fields or climb up a tree (bottom picture).
20
The Cerebral Cortex
  • The intricate fabric of interconnected neural cells that covers the cerebral hemispheres. The body’s ultimate control and information processing center.
21
Structure of the Cortex
  • Each brain hemisphere is divided into four lobes, separated by prominent fissures. They are frontal lobes (forehead), parietal lobes (top to rear head), occipital lobes (back head) and temporal lobes (side of head).
22
Functions of the Cortex
  • Motor Cortex area at the rear of the frontal lobes controls voluntary movements. Sensory Cortex (parietal cortex) receives information from skin surface and sense organs.
23
Functions of the Cortex
  • Motor Cortex area at the rear of the frontal lobes controls voluntary movements. Sensory Cortex (parietal cortex) receives information from skin surface and sense organs.
24
Visual Function
  • Functional MRI scan shows the visual cortex activates as the subject looks at faces.
25
Auditory Function
  • Functional MRI scan shows the auditory cortex is activated in patients who hallucinate (hear voices).
26
Association Areas
  • More intelligent animals have increased “uncommitted” or association areas of the cortex.
27
Language
28
Specialization & Integration
  • Brain activity when hearing, seeing, and speaking words
29
The Brain’s Plasticity
  • Brain is sculpted by our genes but also by our experiences.


  • Plasticity refers to the brain’s ability to modify itself after some type of injury or illness.
30
Our Divided Brain
  • Our brain is divided into two hemispheres.
  • Left hemisphere processes reading, writing, speaking, mathematical, comprehension skills, and thus termed as the dominant brain in the 1960s.
31
Splitting the Brain
  • A procedure in which the two hemispheres of the brain are isolated by cutting the connecting fibers (mainly those of the corpus callosum) between them.
32
Split Brain Patients
  • With the corpus callosum severed, objects (apple) presented in the right visual field can be named. Objects (pencil) in the left visual field cannot.
33
Divided Consciousness
34
Try This!
35
Non-Split Brains
36
Brain Organization & Handedness
  • Is handedness inherited? Yes. Archival and historic studies to modern medical studies point that right hand is preferred. This suggests, genes and/or prenatal factors influence handedness.
37
Is it All Right to be Left Handed?
  • Being a left hander is difficult in a right-handed world.
38
Is it All Right to be Left Handed?
  • The percentage of left-handers decreases sharply in samples of older people            (Coren, 1993).